Esportes, quedas, acidentes automobilísticos, agressões e acidentes de trabalho são os principais fatores que ocasionam traumas faciais
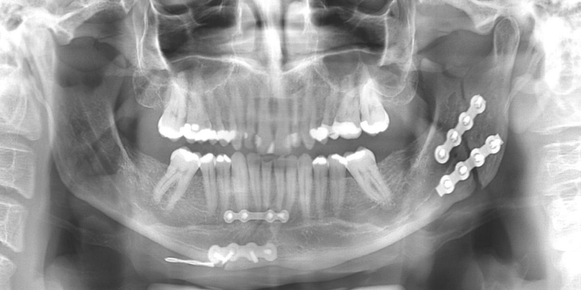
Traumatismos e doenças faciais (congênitos ou adquiridos), podem ser resolvidos por meio de cirurgia. Em geral os esportes, as quedas, os acidentes automobilísticos, agressões e acidentes relacionados ao trabalho são os fatores que mais ocasionam esses traumas faciais.
Nesses casos, o cirurgião buco-maxilo-facial é o profissional mais adequado para o tratamento das fraturas, ferimentos orais e faciais e tudo que está envolvido em todos os aspectos do tratamento.
Além do fator estético, fraturas da órbita (cavidade óssea onde está localizado o olho), podem ocasionar graves complicações, como a diplopia (visão dupla).
Fraturas nos ossos da face também podem ocasionar desoclusão, que é a mordida errada dos dentes. Se não foram tratadas, podem ocasionar uma série de outros problemas funcionais.
No Brasil, cerca de 30 mil pessoas são vítimas de traumas na face todos os anos. Para evitar essas situações, é importante tomar alguns cuidados, como seguir as medidas de segurança, principalmente na direção veicular, já que os acidentes de trânsito são um dos maiores causadores de traumatismos nessa região do corpo.


